Ceritra
gigi
Jangan Cabut Gigimu! Kenali Perawatan Saluran Akar (Root Canal) yang Tak Seseram Mitosnya
Ceritra Warga

Jangan Cabut Gigimu! Kenali Perawatan Saluran Akar (Root Canal) yang Tak Seseram Mitosnya

Hati-Hati Abses Gigi! Kenali Gejala Gusi Bernanah yang Bisa Berakibat Fatal Jika Dibiarkan
Ceritra Warga

Hati-Hati Abses Gigi! Kenali Gejala Gusi Bernanah yang Bisa Berakibat Fatal Jika Dibiarkan

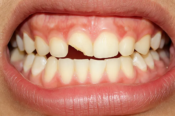
Gigi Patah Setengah? Jangan Panik! Simak Penyebab, Pertolongan Pertama, dan Solusi Medisnya
Ceritra Warga

Gigi Patah Setengah? Jangan Panik! Simak Penyebab, Pertolongan Pertama, dan Solusi Medisnya

Stop Kebiasaan Bernapas Lewat Mulut, Risikonya Bisa Ubah Struktur Wajah Hingga Gigi Hancur!
Ceritra Warga

Stop Kebiasaan Bernapas Lewat Mulut, Risikonya Bisa Ubah Struktur Wajah Hingga Gigi Hancur!

Sering Diabaikan, Bumbu Dapur Ini Ampuh Jadi Pertolongan Pertama saat Sakit
Ceritra Warga

Sering Diabaikan, Bumbu Dapur Ini Ampuh Jadi Pertolongan Pertama saat Sakit

Ingin baca Ceritra lebih banyak? Klik Disini

About Us
Contact Us
Privacy Policy

©2024 AMJ MULTIMEDJA. All Rights Reserved.